산부인과 배란초음파 시기 및 비용 검토

산부인과에서 보는 배란초음파는 자연임신 확률을 높여주기 때문에 임신 준비에 도움이 됩니다. 특히 배란검사기보다 정확도가 높아 초음파를 보기 위해 병원을 찾는 분들이 많습니다.

오늘 포스팅에서는 배란초음파 검사 시기와 비용, 산부인과 치료에 대한 후기를 작성해보겠습니다. 배란 초음파 시기

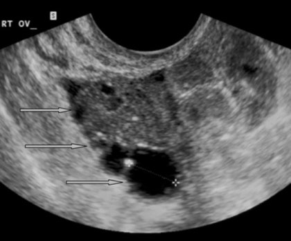
보통 생리가 시작되면 병원에 전화해서 배란초음파 예약을 잡아요. 보통 생리 시작 후 3일째에 오라고 하더군요. 생리 시작 4일째에 방문해서 산전검사(불임검사)를 받고 10일째에 갑니다. 다시 방문하여 모낭의 크기를 확인한 후 후모낭을 터뜨리는 주사를 맞았습니다. 배란초음파법인 후기배란초음파는 질초음파를 이용하여 시행됩니다. 처음에는 당황스러웠지만 의사선생님께서 초음파 모니터를 보면서 말씀해주셔서 실제로 진료를 보면 괜찮다는 느낌이 들고 익숙해졌습니다. 이번달 생리시작 10일째에 배란초음파를 봤습니다. , 충분히 두꺼워진 자궁 내벽에 세 개의 선(삼중선)이 보였고, 난포의 크기도 1.7cm 정도였으므로 배란이 다가오고 있다며 난포를 터뜨리는 주사를 처방했다. 현재는 매달 배란이 잘 되어 약을 처방받은 적은 없지만, 생리 3일째부터 약을 먹기 시작하고, 그 사이에 난포를 키우기 위해 주사를 맞는 경우도 있다고 합니다. 숙제 날짜 배란 초음파 검사를 위해 산부인과에 가는 이유는 정확한 숙제 날짜를 얻기 위해서입니다. 내 경우에는 모낭 주사 당일과 이틀 후, 두 번의 약속을 주셨고, 숙제를 마친 다음 날 돌아왔다. 초음파를 보니 배란이 된 지 얼마 되지 않은 것 같았습니다. 그는 안 한다며 그날 숙제를 한 번 더 하라고 하더군요. 제 자궁에서 정자를 채취해서 자궁경부를 잘 통과하는지 확인하셨어요. 딸을 갖고 싶다고 해서 인지치료가 끝난 뒤 따뜻한 물로 질 내부를 닦아주었다. 이렇게 총 3번 숙제를 했어요. 배란 후 14일째에 월경이 오기 때문에 이번달에 임신이 안되면 다음 월경 3일뒤에 다시 내원하여 배란초음파를 받기로 했습니다. (첫 방문과 달리 생리 종료 후 3일이라는 차이가 있습니다.) 배란초음파 비용 1회 시술에 20,000~30,000원 ​​정도이며, 주사를 맞을 경우 추가 비용이 발생합니다. 오늘은 산부인과에서 배란초음파치료 시기와 비용, 후기에 대해 글을 써봤습니다. 아이를 낳은 뒤에도 산부인과 의사를 선뜻 방문하기가 어려웠다. 배란초음파 치료를 망설이시는 분들에게 이 글이 도움이 되었으면 좋겠습니다.